Menu
Αρχική
Η Ομάδα
Υπηρεσίες
Αισθητική Οδοντιατρική Αποκατάσταση
Λεύκανση
Όψεις Ρητίνης – Όψεις Πορσελάνης
Ολοκεραμικές Στεφάνες – Στεφάνες Ζιρκονίας
Ουλεκτομή / Ουλοπλαστική
Εμφυτεύματα
Τι είναι τα εμφυτεύματα – Χειρουργική Τοποθέτηση
Άμεση Φόρτιση Εμφυτευμάτων / Δόντια σε Μία Ημέρα
Περιεμφυτευματίτιδα
Υπολογιστικά Καθοδηγούμενη Εμφυτευματολογία
Οστική Ανάπλαση
Ανύψωση Ιγμορείου
Αύξηση Εύρους Κερατινοποιημένων Ιστών
Περιοδοντολογία
Ουλίτιδα
Περιοδοντίτιδα
Χειρουργική θεραπεία Περιοδοντίτιδας
Θεραπεία Περιοδοντίτιδας με Laser
Χρήση βιοϋλικών για ανάπλαση των περιοδοντικών ιστών
Κινητικότητα δοντιών και Tρόποι αντιμετώπισης
Επιμήκυνση κλινικής μύλης
Κάλυψη εκτεθειμένων ριζών – υφιζήσεων
Αποκαταστατική Οδοντιατρική
Στεφάνες – Γέφυρες Μεταλλοκεραμικές
Προσθετική επί εμφυτευμάτων
Ολικές και Μερικές οδοντοστοιχίες
Επένθετες οδοντοστοιχίες
Ένθετα και Επένθετα
Τερηδόνα και Σφραγίσματα Δοντιού
Ενδοδοντική Θεραπεία
Χειρουργική Στόματος
Εξαγωγή έγκλειστων φρονιμητών
Χειρουργική εξαγωγή δοντιών και ριζών
Ακρορριζεκτομές
Χειρουργική αποκάλυψη έγκλειστων δοντιών για ορθοδοντική
Χαλινεκτομή
LASER
Περιστεφανίτιδα – Αφαίρεση καλύπτρας φρονιμίτη
Χαλινεκτομή με Laser
Θεραπεία άφθας και έρπητα με Laser
Ουλεκτομή – Ουλοπλαστική με Laser
Θεραπεία Δυσχρωμίας Ούλων με Laser
Ενδοδοντική Θεραπεία με Laser
Αφαίρεση Τραυματικού Ινώματος
Αόρατη Ορθοδοντική
Αισθητική Προσώπου
Υαλουρονικό Οξύ
Botox
Το Ιατρείο
Εξοπλισμός
Ο Χώρος
Περιστατικά
Επικοινωνία
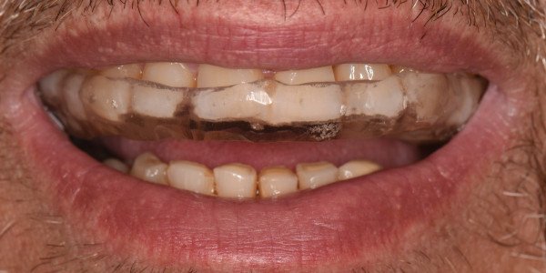
Περιστατικά Οδοντοστοιχιών – Πριν & Μετά Φωτογραφίες
Χρησιμοποιούμε cookies για να σας προσφέρουμε την καλύτερη δυνατή εμπειρία στη σελίδα μας.
ΟΚ
Όχι